Academia.eduAcademia.edu

The dangers of chlorine dioxide tooth bleaching

Linda Greenwall
This paper
A short summary of this paper
37 Full PDFs related to this paper
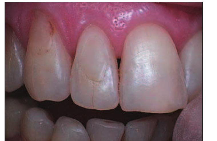
Clinical The dangers of chlorine dioxide tooth bleaching Linda Greenwall clarifies the situation and dispels the myths on teeth bleaching techniques Introduction contain no more than 0.1% hydrogen per- tice without warning and ask to inspect the There have been numerous reports in the oxide present or released. This limit is statu- bleaching products which a dentist supplies. UK press and media about Chlorine Dioxide tory in this country under the UK Cosmetic Some dentists have been issued with warning Tooth Whitening. This has come about due to Products (Safety) Regulations 1996. notices from trading standards officers in the the legislation surrounding bleaching in the In March 2005 the European Commission’s regions of Yorkshire and Lincolnshire. This is UK and ways of seeking a means to bypass the Scientific Committee for Consumer Products causing worry to these dentists so they are legislation and offer alternative to whitening. (SCCP) issued an ‘Opinion’ that tooth whiten- discontinuing offering whitening treatments These whitening treatments have been offered ing products containing up to 6% hydrogen to patients. by non dentists namely beauty therapists and peroxide present or released would be safe. hair dressers as a means of by passing the In the light of this recommendation at the The Introduction of chlorine legislation using hydrogen peroxide tooth time the Government issued a directive to all dioxide tooth whitening gel bleaching. It has been postulated that this is Trading Standards Officers in the UK to adopt These gels have been introduced as a means a ‘safer and more gentle method for whiten- a ‘laissez faire’ attitude to enforcement; what of bypassing the whitening legislation. Many ing teeth’ as it does not use harsh hydrogen they termed a ‘flexible policy’. of these materials have been sold directly to peroxide and in fact the reverse is true. Many In the 18 months that followed, the debate beauty therapists and other non dental prac- UK dentists are now seeing patients who have continued to rage as more manufacturers and titioners, such as health spas and beauty spas experienced the damaging effects of chlorine importers sold equipment to dentists and, in- on cruise liners. Many of these companies dioxide tooth bleaching. There are not many creasingly, to beauty therapists. Was it legal to supplying these Chlorine dioxide agents are established protocols in how to deal with the supply products containing more than 0.1% supplying cruise liners in the hope that these resulting damage and how to repair this dam- hydrogen peroxide? Most of the products that beauty products will thus be under maritime age. It is the aim of this article to discuss the have proven effectiveness and safety studies legislation as the treatments are not officially dangers of this material as a bleaching treat- (Haywood and Heymann 1989) contain a conducted in the UK soil. ment and the harmful resultant effects that minimum of 3% hydrogen peroxide These products are causing harm to have been seen on teeth. Guidance on repair- A new report published by the SCCNFP, teeth. These products are thus subject to the ing the damage will be also discussed. Scientific committee in Europe in January Consume Safety Act of 1987 and Product UK legislation and historical background 2008 recommends the use of up to 6% HP safety legislation of 2005 that states that no In the UK the bleaching materials have been being a safe limit to use. The committee has product should cause harm to the consumer. classified as cosmetics according to the ruling however not recommended the use of over the There are no published studies on the safe- of the Law Lords in 2001. The House of Lords counter products being sold direct to consum- ty and effectiveness of chlorine dioxide as a Judgement in June 2001 confirmed that tooth ers. They recommend that these products are whitening treatment on the pubmed website whitening agents are covered by European only prescribed and administered by dentists. which keeps records of all published medical Council Directive on Cosmetic Products As a result of this statement it is expected and dental research in peer reviewed journals. 76/768/EEC, which allows the supply and use that eventually this recommendation will be The beauty therapists are advised to check of tooth whitening products provided they ratified by the European Council and this will their product safety assessment. eventually be ratified by the UK government. The time scale on this is not clear. This present History of chlorine dioxide as a Linda Greenwall BDS situation effectively means that UK dentists by whitening agent MGDS MRD MSc supplying the home bleaching materials con- As early as 1848, nonvital tooth bleaching FFGDP is a specialist taining from 3% HP which is equivalent to with chloride of lime was practiced Dwinelle in Prosthodontics and Restorative Dentistry 10% carbamide peroxide are supplying these (1850). Truman is often credited with intro- and runs a multi disci- products illegally to their patients. ducing, well before 1864, the most effective plinary private practice The General Dental Council issued a state- technique for bleaching nonvital teeth, which in Hampstead, London. ment in June 2007 that only registered den- used chlorine from a solution of calcium hy- She is editor in chief tists may undertake tooth whitening. As such drochlorite and acetic acid (Haywood 1992) of Aesthetic Dentistry they will prosecute any non dentist for un- chlorine was also inserted into non-vital teeth Today magazine and has written a book called dertaking such whitening treatment no mat- in attempts to lighten them in the late 1880s. ‘Bleaching Techniques in Restorative Dentistry ter which bleaching agent they use. This has Many of these allergy attempts resulted in an Illustrated Guide’ which was awarded Best led to numerous reports to the General Dental regression and some of the dental colleagues New Dental Book of the Year 2001. Linda lectures all over the world on all aspects of Council (GDC) which they are at present deal- at the time advised that it was not worth the combining Bleaching with Aesthetic and ing with. At this present stage this means that effort to whiten these teeth. The most effec- Restorative Dentistry. She is also the President the Department of Trading Standards can send tive technique for bleaching nonvital teeth, of the British Bleaching Society. trading standards officers into a dental prac- which used chlorine from a solution of cal- 20 Aesthetic dentistry today July 2008 Volume 2 Number 4 Clinical Figure 2: Intraoral view of teeth following whitening Figure 1a and b: Lateral views of the teeth - the arrows shows the difference between the teeth were not whit- ened were shiny and had not lost their lustre cium hydrochlorite and acetic acid (Fasanara out of any lease agreements on the hardware. a long-term basis. If eating is undertaken then 1992). The commercial derivative of this, later BABTAC has already helped one member se- the brush on applicator should be used half an known as Labarraque’s solution, was a liquid cure their position in this way’. hour before and half an hour after. chloride of soda Kirk (1889). Chlorine dioxide is a green-yellow gas The current chlorine dioxide Problems arising which oxidise rapidly. Chlorine dioxide has whitening treatments Many of the chlorine dioxide gels are acidic. also been used as a germ killer, pesticide, re- The current whitening treatments are sold as The pH range is from 1-3. As a result of the duction of oral malodour for breathe neutrali- a chairside procedure in the beauty spa. The acid effect directly on the teeth, the resultant sation. It is often used in the paper and pulp material consists of two products which are effect is that of etching the tooth permanently. industries for whitening purposes. mixed together. One is a sodium chlorite and At the end if the treatment the teeth appear In relatively low concentrations of chlo- the other one portion contains a chlorine di- white and this may be due to the dehydration rine dioxide, when contained in or released oxide precursor (CDP), such as sodium chlo- effects as with other power whitening chair- by tooth whitening compositions it may be rite, and another portion contains an acidulant side techniques. The tooth looses its tooth effective and useful in whitening teeth. The (ACD) containing 2.0% anhydrous citric acid. lustre or shine and this can be a permanent chlorine dioxide contained in or released by The composition formed from an admixture effect. This loss of tooth lustre also makes the tooth whitening compositions, when placed of the two portions may be placed in contact tooth feel rougher. Many of the clients have in contact with the tooth surface, is observed with a stained tooth surface to effect whiten- reported that the teeth seem to pick up further to rapidly oxidise tooth stains, rendering the ing. staining and become even more discoloured treated tooth surface relatively whiter after the A low concentration of chlorine dioxide gel than before the treatment. The resulting dis- contact (Montgomery 1999). is applied directly to the teeth. This material is colouration is yellow to brown. Many patients then left in pace for a period of about twenty report increased tooth sensitivity which is dif- Chlorine dioxide and the beauty minutes to forty minutes. The process is en- ficult to manage and not easy to desensitise. therapists hanced with an LED light. Usually three ap- It appears that the majority of non-dental plications are applied to the teeth. The client Further problems practitioners who are using these treatments (patient) is then given a take home kit which These chlorine dioxide treatments are adver- are the beauty therapists. The UK Beauty ther- either contains further chlorine dioxide gels tised as safe for teeth. It is certainly not the apists website BABTAC.co.uk advises their or other carbamide peroxide gel to continue case. They also contain further instructions members ‘that you could well have a claim the whitening effect for a period of time. This for the consumer which often gives misleading against the person who sold you the equip- take home kit is often a brush on applicator advice ‘when asked will it lighten my crowns ment and consumables under The Sale Of which is used to enhance the whitening. It is and veneers it states that it will only return to Goods Act 1979 (the equipment not being stated in some of the websites that the product the original colour’. Research has shown that ‘fit for the purpose’) or the Supply of Goods is completely safe because it is a food additive the process of whitening does not affect por- to Consumers Regulations 2002 - and the and the effects will last permanently as long as celain crowns. Clients are then advised to use Misrepresentation Act 1967 might get you the home brush on kit is used twice a week on the ‘white teeth diet’ which is to drink their Figure 3: Intraoral view showing etched appearance Figure 4: Close up detail of the central incisor Figure 5: Results of whitening with chlorine dioxide from another patient. Final shade of teeth is C4 and teeth appear etched July 2008 Volume 2 Number 4 Aesthetic dentistry today 21 Clinical Table 1 Table 3: The damaging effect of chlorine dioxide whitening Options/ suggestions for treatment post chlorine dioxide whitening treatment on teeth: treatment • Etching of teeth Dealing with sensitivity: • Loss of tooth lustre • Desensitising the teeth with the normal desensitising agents • Teeth appearing more discoloured • Making a home tray for the patient in which to apply the • Teeth absorbing more stains than before desensitising agents for longer lasting effect. • Teeth feeling rough • The application of amorphous calcium phosphate directly • Teeth more sensitive onto the surfaces of the teeth or into the whitening tray to return the calcium and phosphate back into the tooth. • Teeth permanently sensitive. Dealing with the discolouration: • Rewhitening the teeth using normal home bleaching agents Table 2 such as 10% carbamide peroxide particularly those which have added desensitisers to reduce likelihood of further Reported systemic effects of the toxic problems associated sensitivity with chlorine dioxide whitening treatments for teeth. • These teeth may require prolonged whitening as it may take • Inhalation and other breathing difficulties time to eradicate the brown discolouration from the tooth. • Exacerbation of patients asthmatic condition • Increased heart rate and palpitations Dealing with the loss of tooth lustre: • Heart Irregularities • Applying bonding agents directly to the affected teeth • Eyes watering • Applying enamel glazes effects to restore the lustre to the teeth • Admission into the casualty and the emergency room Dealing with the permanent effect of enamel damage • If all the above simple measures are not effective , it may be coffee through a straw and to drink white wine instead of red wine and necessary to place porcelain veneers over all the affected teeth to refrain from drinking cranberry juice and to rather drink grapefruit • However etching the teeth to place the veneers may juice. This is misleading information as the grapefruit juice has a very be difficult. low pH and drunk in excessive amounts can cause erosion onto the surfaces of the teeth. A Linda Greenwall will be speaking, along with Edward Lynch and Sia Mirfendereski at The business of References bleaching 2008 on Monday 3 November 2008 at the Dwinelle WW (1850) Ninth Annual Meeting of American Society of Dental Holiday Inn Bloomsbury, London. This seminar will bring Surgeons. Article X. Am J Dent Sci 1:57 61. discuss the essential update associated with bleaching Haywood and Heymann (1989) Nightguard vital bleaching. Quintessence Int and the recent changes that have been made, which http:// www.Babtac.com the Beauty Therapists website will bring you up to date on the very latest legal is- http:// www.freepatentsonline.com sues in bleaching. Linda will also be hosting a full-day Kirk EC: ( 1889) The chemical bleaching of teeth. Dental Cosmos 31:273-283 hands-on bleaching session on Saturday 8 November Montgomery E (1999) US Patent Application no 08/901261 which will incorporate both home bleaching and power www.freepatentsonline. bleaching. For further information and to book your Tom S. Fasanaro D.D.S. (1992) Bleaching Teeth: History, Chemicals, and Methods places please call Independent Seminars on Used for Common Tooth Discolorations Journal of Esthetic and Restorative Dentistry 0800 371652 or visit www.independentseminars.com 4 (3) , 71–78 Van B Haywood (1992) History, safety, and effectiveness of current bleaching techniques and applications of the nightguard vital bleaching technique. Quintessence Int 23:471-488 22 Aesthetic dentistry today July 2008 Volume 2 Number 4